Клиническая и научная база ФГБНУ «Национальный научно-исследовательский институт общественного здоровья имени Н. А. Семашко»
Клиническая и научная база ФГБНУ «Национальный научно-исследовательский институт общественного здоровья имени Н. А. Семашко»

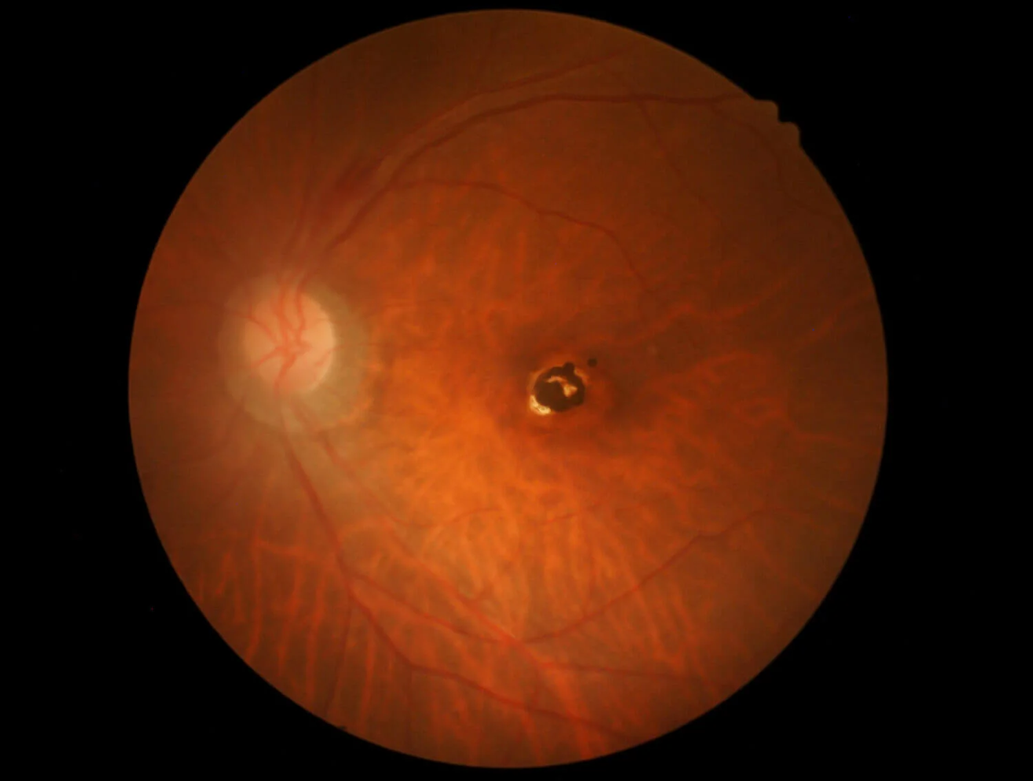
Возрастная макулодистрофия (ВМД) - заболевание, поражающее самую центральную область сетчатки, отвечающую у человека за высокое зрение. Развивается, как правило, после 60 лет. Причинами являются ухудшения кровоснабжения тканей глаза, накопление продуктов распада клеток, недостаток некоторых питательных веществ и т.д. Заболевание может протекать в нескольких формах, для каждой из которых разработаны определенные схемы лечения. Постановка диагноза и выбор терапии возможны лишь после детального офтальмологического обследования. Отсутствие лечения может привести к потере центрального зрения, в ряде случаев к слепоте.

Немаловажную роль в обнаружении возрастной макулодистрофии может сыграть самодиагностика. Попробуйте поочередно посмотреть одним глазом на любые прямые линии (контуры мебели, лист тетради в клеточку и т.п.). Внимательно оцените, нет ли искривления или деформации линий. В случае их обнаружения незамедлительно обратитесь к офтальмологу. Более точно самодиагностику можно выполнить с помощью теста Амслера.

Уткин Андрей Владимирович
Врач офтальмолог универсал
Наши преимущества
Самые современные методы диагностики
Самые современные методы диагностики
Комплексный подход к лечению
Комплексный подход к лечению
Доступные цены на диагностику и лечение
Доступные цены на диагностику и лечение

Чем опасна возрастная дистрофия сетчатки (ВМД)

При отсутствии необходимого наблюдения и лечения заболевание носит прогрессирующий характер. Постепенная гибель клеток сетчатки в центральной зоне поначалу приводит к появлению искажений и снижению остроты зрения. Последовательно утрачивается способность к выполнению тонкой зрительной работы, чтению. По центру поля зрения может появиться темное или серое пятно. Острота зрения снижается до 10% и ниже. Человек видит лишь периферическими участками поля зрения. Ограничивается способность к самообслуживанию, передвижению. Полная слепота может наступить в ряде случаев при развитии осложнений. Процесс постепенного ухудшения зрения может занять от нескольких месяцев до многих лет.

Частые вопросы

Чем отличается центральная зона сетчатки от других?

Центральная зона сетчатки максимально приспособлена для обеспечения высокого зрения. В ней отмечается наибольшая плотность светочувствительных клеток (колбочек), при этом все прочие вспомогательные слои смещены в сторону. Из-за этого в центре сетчатки образуется так называемая центральная ямка. Чтобы не мешать колбочкам, собственная сосудистая сеть сетчатки здесь отсутствует, что делает ее особенно чувствительной к любым нарушениям кровотока. Именно центральная ямка обеспечивает нормальное 100-процентное зрение.

Чем отличаются разные формы ВМД?

Различают две основные формы возрастной макулодистрофии – сухую и влажную. Сухая форма дистрофии характеризуется постепенной гибелью клеток сетчатки с формированием атрофического очага. Это наиболее распространенная форма заболевания (до 90%). Протекает длительно, не сопровождается серьезными осложнениями, плохо поддается лечению. Влажная форма дистрофии сопровождается появлением в сетчатке или под ней сплетения из растущих сосудов. Предполагается, что глаз таким образом «пытается» компенсировать недостаток питания сетчатки. Однако растущие новообразованные сосуды нарушают структуру сетчатки, вызывают отек сетчатки и кровоизлияния. Эта форма заболевания может протекать достаточно стремительно и в течение нескольких месяцев значительно ухудшить зрение.

Чем опасна влажная форма возрастной макулодистрофии?

Влажная форма ВМД может прогрессировать очень быстро и вызывает ряд осложнений. Наиболее опасными являются кровоизлияния и отек сетчатки. При отсутствии лечения заболевание заканчивается образованием в центральной зоне сетчатки рубца из соединительной ткани. Зрительные функции при этом носят остаточный характер или отсутствуют.

Зачем при влажной форме ВМД делают уколы в глаз

Наиболее современным и эффективным способом остановить развитие влажной формы ВМД является введение препаратов, замедляющих рост сосудов. В офтальмологии их называют antiVEGF (анти-ви-и-джи-эф) препараты. К ним относятся ранибизумаб, бевацизумаб, афлиберцепт. Они останавливают рост патологической сети сосудов, уменьшают отек сетчатки, профилактируют развитие осложнений. Препараты вводятся внутрь глаза. Выполняется несколько инъекций с определенной периодичностью. Для профилактики осложнений введение препарата выполняется в операционной.

Тест Амслера

Самый простой способ самостоятельно проверить состояние центральной зоны сетчатки – выполнить тест Амслера. Обращаем внимание, что этот метод полностью не исключает наличие заболевания и не отменяет посещение врача.

Глазной Доктор рекомендует

  • Немаловажную роль в обнаружении возрастной макулодистрофии может сыграть самодиагностика. Попробуйте поочередно посмотреть одним глазом на любые прямые линии (контуры мебели, лист тетради в клеточку и т.п.). Внимательно оцените, нет ли искривления или деформации линий. В случае их обнаружения незамедлительно обратитесь к офтальмологу. Более точно самодиагностику можно выполнить с помощью теста Амслера.
  • Эффективной мерой профилактики возрастной дистрофии сетчатки является прием специальных комплексных препаратов, содержащих лютеин, зеаксантины, цинк и ряд витаминов. Однако их эффективность зачастую сильно отличается. Обратитесь к офтальмологу, врач порекомендует лучший для вас вариант.
  • После 50 лет заведите себе привычку посещать офтальмолога 1 раз в год, даже если вас ничего не беспокоит. Это позволит выявить большинство глазных заболеваний, в том числе и дистрофию сетчатки, на ранних стадиях. Это очень важно для успешного лечения.
Уткин Андрей Владимирович
Врач офтальмолог универсал
Стаж 35 лет

Цены

Диагностика
Офтальмологическое обследование (определение остроты зрения, авторефрактометрия, тонометрия оптимальным методом, биомикроскопия, осмотр глазного дна под мидриазом (по показаниям) ОКТ скрининг (по показаниям), консультация врача-офтальмолога)
Код услуги МЗ РФ: В01.029.001
Акция!
3500 руб.
4000 руб.
Записаться
Обследование пациента перед оперативным лечением катаракты (первичное офтальмологическое обследование, подбор ИОЛ, кератотопограмма по показаниям, УЗИ глаза по показаниям)
Код услуги МЗ РФ: В01.029.001
5000 руб.
Записаться
Спектральная оптическая когерентная томография ОКТ (зрительный нерв (3D)+сетчатка (3D,line,cross-line)) (два глаза)
Код услуги МЗ РФ: A03.26.019.003
5800 руб.
Записаться
Спектральная оптическая когерентная томография ОКТ переднего отрезка (два глаза)
Код услуги МЗ РФ:А03.26.019.001
4200 руб.
Записаться
Спектральная оптическая когерентная томография ОКТ зрительного нерва (3D ГЗН и Mz) (два глаза)
Код услуги МЗ РФ: А03.26.019.003
4200 руб.
Записаться
Спектральная оптическая когерентная томография ОКТ пахиметрия (два глаза)

Код услуги МЗ РФ: А03.26.019.001
1100 руб.
Записаться
Манипуляции и дополнительные диагностические методики (выполняются после консультации врача)
Повторный осмотр врача-офтальмолога (в течение 1 месяца, в объеме офтальмологического обследования по показаниям)
Код услуги МЗ РФ:В01.029.002
2100 руб.
Записаться
Посмотреть все цены

Наши врачи

Главный хирург сети клиник «Глазной Доктор»
Кандидат медицинских наук
Врач высшей категории
Стаж работы - с 2004 года
Доктор медицинских наук
Профессор
Заслуженный врач Российский Федерации
Главный внештатный офтальмолог Центрального Федерального Округа
Профессор кафедры глазных болезней ФГБНУ «Национальный НИИ общественного здоровья им. Н.А.Семашко»
Стаж работы - с 1977 года
Ведущий страбизмолог России
Врач-офтальмолог высшей квалификационной категории
Награжден знаком «Отличник здравоохранения»
Автор уникальных методик лечения косоглазия
Стаж работы - с 1989 года
Врач офтальмолог
детский офтальмолог
Стаж работы – с 2017 года
Врач-офтальмолог
Лазерный хирург
Офтальмохирург
Стаж работы - с 2019 года
Врач офтальмолог
Стаж работы – с 2011 года
Врач-офтальмолог универсал
Детский офтальмолог
Стаж работы - с 2003 года
Врач-офтальмолог
Стаж работы - с 2021 года
Врач офтальмолог
Стаж работы - с 1986 года
Врач-офтальмолог
офтальмохирург
Стаж работы - с 2021 года
Врач-офтальмолог
Детский офтальмолог
Опыт работы с 2002
Врач-офтальмолог
Детский офтальмолог
Стаж работы - с 2017 года
Врач-офтальмолог
Стаж работы - с 2018 года
Детский офтальмолог
Стаж работы - с 1996 года
Врач-офтальмолог
Стаж работы - с 2022 года
Врач-офтальмолог
Стаж работы - с 2024 года
Врач-офтальмолог
Стаж работы - с 2021 года
Врач-офтальмолог
Врач высшей категории
Кандидат медицинских наук
Лазерный хирург
Стаж работы - с 2000 года
Доктор медицинских наук
Врач высшей категории
Врач-офтальмолог, офтальмо-хирург
Стаж работы - с 1983 года
Врач-офтальмолог
Стаж работы - с 2024 года
Врач-офтальмолог
Стаж работы - с 2023 года
Врач-офтальмолог
Стаж работы - с 2024 года
Врач-офтальмолог
детский офтальмолог
Стаж работы - с 2020 года
Врач-офтальмолог
Детский офтальмолог
Стаж работы с 2022 года

Отзывы пациентов клиники

Выберите клинику
Клиника в Зеленограде
г. Зеленоград, корпус 2022
Клиника в Долгопрудном
г. Долгопрудный, ул. Первомайская 11а
Клиника в г. Люберцы
Люберцы, микрорайон Красная Горка, проспект Гагарина, 26к2
Клиника в Щёлково
г. Щёлково, ул. Первомайская д. 5, к. 2
Клиника в Москве
Москва, ул. Полярная 22
Ваш браузер устарел рекомендуем обновить его до последней версии
или использовать другой более современный.